Arteries of the brain
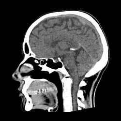
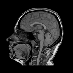
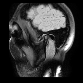
Brain
Head veins
Temporomandibular joints
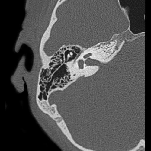
Temporal bones
Paranasal sinuses
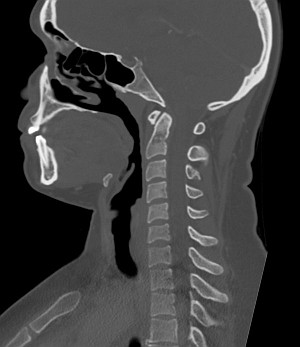
Vessels of the neck
Soft tissues of the neck
The brachial plexus
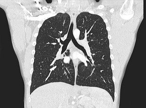
Lungs and Mediastinum
Heart
Mammary glands
Chest organs
Sacrococcygeal spine
Thoracic spine
Lumbar spine
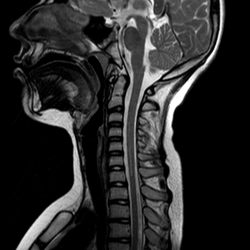
Cervical spine
Sacrococcygeal region
Abdominal cavity and retroperitoneal space
Male external genitalia
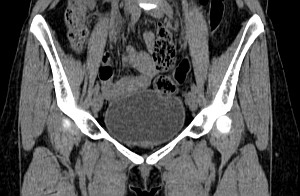
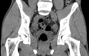
Male pelvis
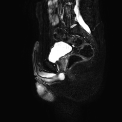
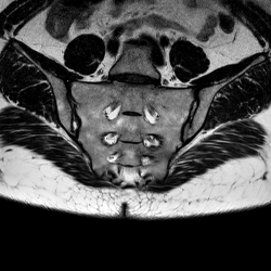
Female pelvis
Abdomen
Hand
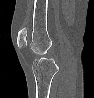
The knee joint
Elbow joint
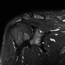
Shoulder joint
Foot
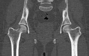
Hip joints
Vessels of the lower extremities
Login
The confirmation code has been sent to . Enter the code below. If you don't see the email, check your spam